Clinical Case 128: Northern Knee Nasty
OK, team. This is a bit of a teaser for my SMACC Dublin talk “On How I Do Diagnostics”. I won’t be giving too much away, but wanted to share a bit of local flavour when it comes to diagnosing a relatively common problem. Acute monoarthritis of the knee….
Lets do a case.
Jimmy is a 30 year old man who is usually “fit and well”. Despite this he has a BMI of 37, a starting BSL of 16 [288 for the States]. He denies any chronic symptoms of knee or other joint pain.
He had a few footy injuries when he played Aussie Rules in his 20s. But that was 8 years ago and 60 kg lighter. He specifically denies a childhood history of rheumatic fever [sadly this is a high yielding question in Broome..]
On specific questioning he has had a recent STI (gonorrhea is 1000 times more prevalent in my ED than in urban EDs)… though this is not really surprising. He was treated with a ZAP PACK ( single doses of azithromycin, probenecid and Amoxicillin 3G) 2 weeks ago.
Jimmy has never heard of gout. He cannot recall any injury to the knee – though he had “a big weekend” – so it’s all a bit blurry….. There was an accident when he hurt a shoulder and he had to find a shoulder surgeon near Pensacola FL, but that was a while ago. He insists knees were not injured then.
On examination:
- there is a crusted, sloughy superficial skin sore ( impetigo) over the patella – looks quiescent
- he cannot weight bear due to pain
- his ROM is about 20 – 30 degrees flexion
- the knee has a moderate sized effusion
- it is warm ( not hot) to touch
- no specific sites of bony or ligament tenderness
So there we are. This is a classic tropical Aussie case. Our differentials are a bit different up here. To start investigating we need 2 things:
- an estimation of pretest probability
- an idea of the test characteristics for our next Ix
This is my real- world differential diagnosis in this chap – and they are all weighted pretty evenly!!
- septic (Staph / MRSA/ streptococcal) arthritis – biggest DANGER Dx here
- gonococcal arthritis – tends to present as subacute arthritis
- gout – he’s syndrome X and recently binged on EthOH
- Recurrence of acute rheumatic arthralgia – common even if no primary Dx
- Reactive arthritis ( eg. Reiter’s ) – we know he had an STI, so can happen
- occult trauma – needs excluding or I’ll look like a goose
- Ross river virus ( local flavivirus) – presents with lower limb swelling, rash
From a diagnostic perspective this differential is a bit of a disaster. Six or 7 potential causes, roughly evenly weighted. So our pretest probability for any of these is 20% at best! In order to get over the “test threshold” and “diagnose” any of the above we will need to choose our investigations wisely. What we need is a test that will sort the goats from the sheep, one with a low signal-to-noise ratio.
The ideal test here would have a potent positive likelihood ratio (+LR) for the less dangerous diagnoses AND a strong negative likelihood ratio (-LR) for the serious, destructive diseases – esp. acute septic arthritis… so what will work?
I would argue that there is no known blood test that will hel us in this scenario. Please let me know if you think this is wrong. WCC, CRP, ESR, uric acid, ASOT, serology
X-ray is really only going to help us exclude an occult fracture eg. tibial plateau – it is cheap, safe, available – so let’s do it. RESULT: Drum roll….. Normal, some periarticular fluid in the tissues.
So let’s just stick a needle in and suck out the fluid, send it off – GOLD STANDARD. Yes, this is the best option. My test of choice up front……but…. the knee is covered in crusty looking sores. Do we really want to poke a needle into this and onto the joint? I’d worry I am causing septic joint whilst trying to exclude it!
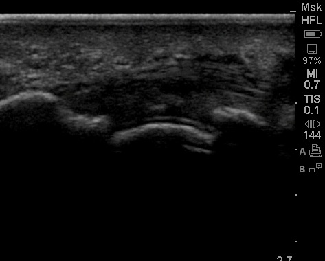
Whilst pondering this dilemma I do what I usually do – ultrasound!
Really I am just having a gander to check where I could place a needle into a pocket of synovial fluid safely. This is an image I caught…. It contains a sign which is supposedly very specific for one of the above diagnoses. Maybe we can spare the needle?
Can you tell me what the sonographic sign is? And which differential does it suggest?
Is it enough to ‘settle’ this diagnostic dilemma?
Let me know if you have any clinical pearls that might help here!
more soon, Casey

That looks like the double contour sign of gout, but I still don’t think you can rule out septic arthritis with that picture (superimposed infection of an already abnormal joint).
You could use one of the alternative entry sites for your joint aspirate to avoid the front of the patella.
Man. You are fast / good!!
Are you going to SMACC?
*blush* I think the word you were looking for is ‘insomniac’.
SMACC…. maybe the next time it’s on the east coast of Australia. I don’t work in critical care so it’s hard to justify going to an “irrelevant” conference.
Ultrasound pic looks like a baby Darth Vader.