Clinical Case 130: Painful Palate Puzzle
OK crew.
Today I have a super quick clinical case for you.
42 year old man presents to the ED with a week history of pain in the palate. He says he thought it was referred pain from a “sinus infection”. He has had a series of these “sinus infections” recently and his GP has treated them with oral Amoxicillin / Clav… not getting any better. We can debate if this is a good use of antibiotics, but just agree it is ‘clinical equipoise’ for now! (Check out the NNT take on this from 2013 here, Cochrane agreed in 2012.. but they are looking at it again right now).
The antibiotics didn’t really help after 5 days. He went to another GP who prescribed another antibiotic… But today, on day 7, he has a new symptom. He has noticed a painful lump on his hard palate. He cannot recall feeling it before. It just “appeared” over the week as he was struggling through the pain of his “sinus infection”.
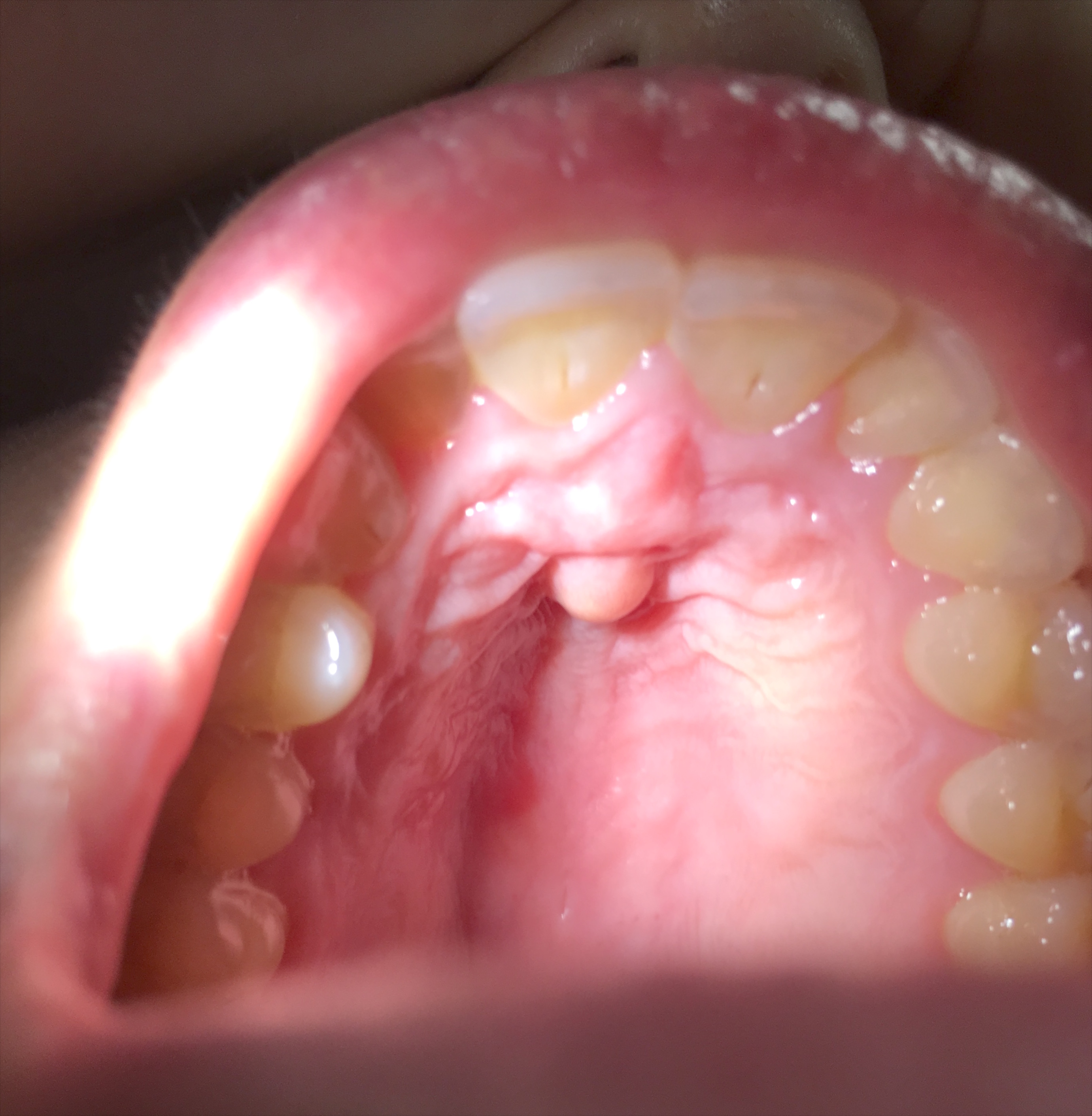
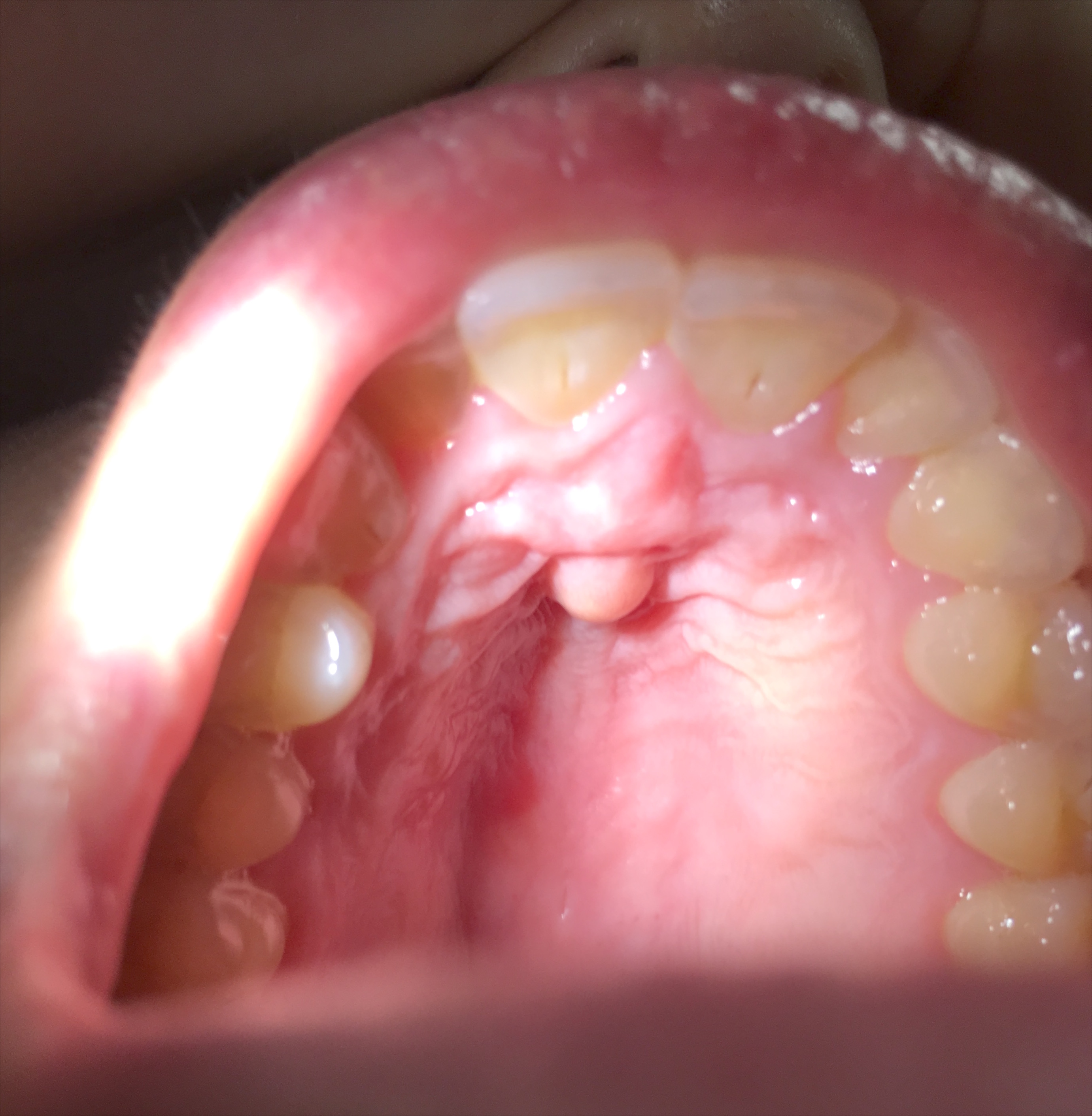
A cursory ENT exam shows all to be normal. He does have some fullness and percussion tenderness over the left maxillary sinus. But there is a definite lump on the palate:
The lump is firm, tender but not particularly hot. It is bang in the midline:
Q1: spot diagnosis – what is it?
Q2: what imaging will you request if any?
Q3: what is the treatment ?
Casey

First time answering one of your cases Casey… Nasopalatine duct cyst, if imaging undertaken it appears as a Heart shaped radiolucency in the midline. Treatment by excision and diagnosis confirmed on histology.
I reckon the same!
Nasopalateal cyst
Sinus CT scan
Derenage
Q1. Torus palatinus? Confused the hell out of me as a senior reg. But time frame doesn’t quite fit, thought it wouldn’t come in so fast. Thinking infection then
Q2. Not sure. CT to rule out malignancy?
Q3. Leave well alone was my understanding, unless affecting denture fitting etc
?not really a GP problem…..refer Pt to Dentist…who wd probably take PA or OPG Xray…..then treat findings accordingly ….or refer on to Maxillofacial Surgeon if necessary.
Torus palatinus
no need for imaging
no treatment needed – just reassure